EXODONTIA DE 3º MOLARES (SISO)
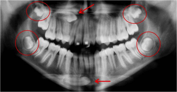
O último dente a se desenvolver e erupcionar na boca é o 3º molar. Normalmente erupcionam aos 18 anos. Geralmente os 3º molares não tem espaço para erupcionar sendo indicada sua extração, sejam por fins ortodônticos ou profiláticos, para evitar problemas futuros como a reabsorção dos 2º molares, cistos e tumores, entre outros. Estes dentes podem erupcionar parcialmente dificultando a limpeza, acumulando alimentos, placas e bactérias na gengiva sobreposta o que pode resultar em cáries, doenças gengivais, abscessos e infecções não só nos 3º molares como nos dentes vizinhos. Os sisos podem ser extremamente problemáticos, sendo necessária a intervenção de um especialista Buco-Maxilo para sua remoção.


